AOTRAUMA.ORG Центр Илизарова  

Ортопедия и травматология Общие вопросы/General questions Help Информационные технологии в медицине
 вверх
 отправить
 поиск
 админ
 главная


Acetabular fracture
Ортопедия и травматология Отправлено Evgueny Tschekashkin 01 Сентябрь 2004, 08:50
Уважаемые коллеги,Мужчина 36 лет от роду попал в ДТП 24.08.04 Рентгенограммы в приложении.
заранее благодарен за комментарии и предложения по дальнейшей тактике лечения.Евгений Чекашкин

<  |  >

 

  • Сообщения о Ортопедия и травматология
  • Также Evgueny Tschekashkin
  • Связаться с автором
  • Ответить

    Re: Acetabular fracture
    Alexander Chelnokov 01 Сентябрь 2004, 12:00
    Женя, зайди на http://weborto.net/pacs, укажи в поле "N истории болезни" - 4, нажми "Искать". Похожий случай. Подробнее - утром.
    [ Ответить ]

    • Re: Acetabular fracture
      Отправитель: Evgueny Tschekashkin 03 Сентябрь 2004, 17:35
      Саша ,
      спаисбо за референс
      Зашел на сайт -картинки интересные, но не совсем такие.
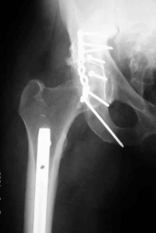
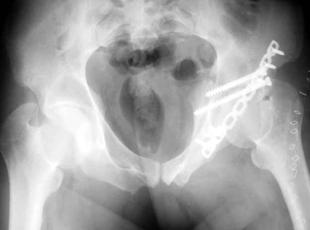
      Не дождавшись советов, в понедельник прооперировал больного, заняло времени..., но все сделал в один этап: сначала фиксировал ипсилатеральный перелом бедра и шейки реконструктивным гвоздем Smith&Nephews, потом из расширенного илеофеморального доступа фиксировал перелом крыла подвздошной кости тягловым винтом, нейтрализующей пластиной заднюю колонну, и тягловыми винтами 3,5 мм переднюю колонну.
      Несмотря на расширенный доступ, особой кровопотери не было, перелил только одну дозу эр.массы и на утро Нв- 10.5 и как ни странно больной не жалуется на сильные боли и стопа не *висит*, хотя при интраоперационной ревизии седалищного нерва обширная гематома в периневральной оболочке.
      К сожалению, послеоперационные Рг граммы пока не готовы, думаю завтра увидеть, что творится с впадиной и тазом.

      Всего доброго,
      Евгений

      [ Ответить ]
    Re: Acetabular fracture
    Djoldas kuldjanov, M.D. 02 Сентябрь 2004, 09:05
    Евгений,

    Ваш окончательный диагноз?
    Если больной до сих пор не оперирован, мне кажется здесь уместно применить следующий протокол.
    По снимкам:
    Диагноз- перелом с вовлечением таза, разрыв правого сакро-илиак сочленения vertical shear injury, перелом крыла подвздошной кости?, перелом ацетабулум Т type или Both column?, перелом шейки бедра, перелом проксимального отдела бедра.

    Ургентная тактика- Компьютер Томографические исследование таза и проксимального отдела бедра.
    1. для диагностики перелома ацетабулум и таза
    2. для определения доступа к ацетабулум
    3. для определения, продолжается ли линия перелома бедра к вертелу

    Ургентно: фиксация перелома шейки и перелома бедра.

    Что фиксировать первым в Ipsilateral Femoral and Neck fractures, это часто задаваемый вопрос на экзамене в American Board of Orthopedic Surgery и правильный ответ: фиксация шейки затем бедро.

    В практике это сложно, не стабильные переломы бедра и шейки, отсутствует бедренный рычаг для манипуляции, поэтому предварительно надо произвести стабилизацию шейки бедра закрытым методом парой-тройкой спиц, затем бедро, ретроградно вводится штифт до малого вертела, после фиксации бедра, шейка репонируется и через направленные спицы вводят 3 шурупа (под углом 130 градусов) 6.5 или 7.3 мм.

    Если на КТ линия перелома бедра продолжается до вертельной части, можно применить имплант типа DHS or SHS более длинной боковой пластиной.

    Выжидательная тактика:
    по отношению таза и ацетабулум.
    Можно в спокойней обстановке оценить ситуацию, оставить вытяжение за проксимальный отдел тибиа, сделать рентгенограммы: acetabular Judet views, Pelvic inlet, outlet views.

    Через 5-6 дней, в зависимости от перелома ацетабулум, выбор доступа и фиксация реконструктивной пластиной.

    Сакро-илиак разрыв рекомендуется фиксация cannulated screws, или если разрыв небольшой то возможно другой вариант фиксации: передний наружный фиксатор.

    Данную тактику я бы выбрал при лечений этого случая.
    В зависимости от оснащения и опыта, несомненно у коллег могут быть и другие варианты лечения политравм (помню как Александр на американском ортофоруме показал мастерски исполненный интересный случаи, применение наружного фиксатора как временный стабилизатор, затем фиксация перелома бедра антиградным интрамедуллярным штифтом, фиксацией шейки и конечным лечением ацетабулум-таза)

    Конечно без сомнения случай очень тяжелый и желаю успеха, если туго с имплантами сообщи.

    Джолдас Кульджанов

    [ Ответить ]

    • Re: Acetabular fracture
      Отправитель: Evgueny Tschekashkin 05 Сентябрь 2004, 21:58












      Уважаемый Djoldas,

      Спасибо за комментарии


      > Ваш окончательный диагноз?

      перелом крыла правой подвздошной кости, перелом обеих колонн вертлужной впадины, двусторонний перелом лонных костей (С2.2) повреждение передних связок правого крестцово-подвздошного сочленения,
      ипсилатеральный перелом шейки и диафиза бедра.

      > Ургентная тактика- Компьютер Томографические исследование таза и
      > проксимального отдела бедра.

      Инлет проекция и Кт таза были выполнены. Вот в отношении Judet views в остром периоде как то не очень лежит душа поворачивать больного

      >
      > Ургентно: фиксация перелома шейки и перелома бедра.

      К сожалению, набора для ретроградного или антеградного реконструктивного штифтования в операционной нет, поэтому доставка заняла н-ное время. Вопрос, который возник у меня- по поводу оптимальной тактики хирургии: вся фиксация в один этап из расширенного доступа или последовательно сначала бедро и позже реконструкция впадины, комбинированный доступ к впадине отдельно к передней и задней колоннам или из расширенного илеофеморального одного доступа. Все-таки решил остановиться на одноэтапном подходе и спустя 5 дней (как раз и наборы привезли) из расширенного илеофеморального доступа сначала фиксировал реконструктивным штифтом Smith&Nephews бедро и
      шейку (благо перелом шейки 2 типа -относительно стабильный) затем фрагмент крыла подвздошной кости Lag screw, далее пластина на заднюю колонну и винты в переднюю колонну.(с размерами и направлением винтов ошибка вышла:-((, но интраоперационно у меня была полная уверенность , что винты *ушли* в лонную кость).


      >
      > Что фиксировать первым в Ipsilateral Femoral and Neck fractures, это
      > часто задаваемый вопрос на экзамене в American Board of Orthopedic
      > Surgery и правильный ответ: фиксация шейки затем бедро.

      Вопрос интересный, но практически закрытая репозиция нестабильного перелома шейки бедра при нефиксированном диафизарном переломе представляется мне сложным делом, ведь необходимая дистракция и ротационный маневр, прежде всего прикладываются к диафизарному перелому. С открытой техникой это проще, но каков принципиальный момент в подходе, требуемом американским бордом?
      Ведь очевидно, что фиксация ипсилатеральных переломов осуществляется в один этап и второй момент в том, что все разнообразие реконструктивных штифтов предназначенных для фиксации ипсилатеральных переломов основано на фиксации диафиза и потом через направитель проводится винт в шейку и не наоборот?
      Хотя если рассматривать поэтапный подход, то безусловно шейка фиксируется в первую очередь(если состяние больного не позволяет выполнить все одномоментно.)
      >
      > Сакро-илиак разрыв рекомендуется фиксация cannulated screws, или если
      > разрыв небольшой

      Учитывая, что только передний связочный комплекс был поврежден( по данным КТ),поэтому от фиксации винтами я воздержался.

      >
      > В зависимости от оснащения и опыта,

      И первое и второе, пока в стадии равзития (свой тазовый набор госпиталь не покупает, предпочитая каждый раз заказывать из Joburga), опыт тоже постепенно появляется.

      > Конечно без сомнения случай очень тяжелый и желаю успеха, если туго с
      > имплантами сообщи.
      >
      >
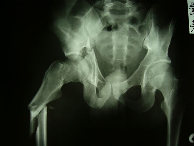
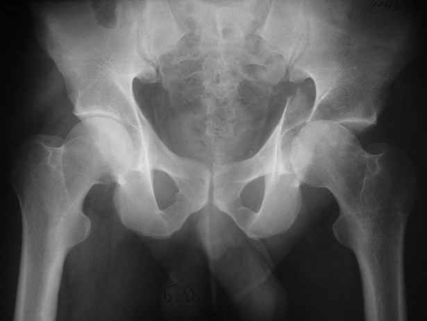
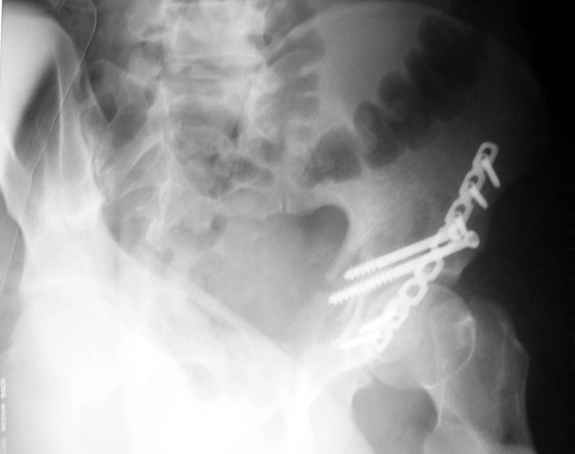
      Еще раз спасибо за комментарии и готовность помочь с имплантами. Постоп картинки в приложении,

      С наилучшими пожеланиями,
      Евгений Чекашкин

      [ Ответить ]
      • Re: Acetabular fracture
        Отправитель: Anatoly F. Lazarev 09 Сентябрь 2004, 00:30
        Женя, Молодец, видел твою работу, просто пишу по этому адресу. Подумай - альтернатива накостному синтезу пластиной из заднего доступа = перкутанный остеосинтез винтом через седалищный бугор - компрессирующим винтом, хоть каннюлированным, хоть простым. Тем более, что репозицию и даже степень компрессии на затягивании винта можно увидеть спереди между отломками передней колонны. Если будет время покажу тебе один интересный таз, оперированный вчера.

        [ Ответить ]
        • Re: Acetabular fracture
          Отправитель: Evgueny Tschekashkin 09 Сентябрь 2004, 00:34
          Анатолий Федорович, День Добрый !


          > Женя, Молодец, видел твою работу

          - Что может быть лучше похвалы и профессорского доброго слова :-))

          - О перкутанной фиксации я думал, демонстрировали снимки в умных книжках и статьях.
          для меня проблему составляет точная репозиция - даже при полностью открытой зоне перелома и прямой манипуляции отломками с помощью мощных зажимов восстановить анатомию очень не просто.
          При двухколонных переломах, что мне приходилось фиксировать я наблюдал кроме видимого на Рграммах смещения отломков по ширине(которое относительно легко устраняется с помощью дистракции) незначительное ротационное смещение нижнего отдела впадины( дист часть переломанных колонн), которое мне удавалось устранять только с помощью зажимов - прямой репозиции. Для перкутанной фиксации нужна система для непрямой манипуляции отломками и репозиции, вы упомянали что-то об этом при встрече.
          есть кое-какие идеи о контроле качества непрямой репозиции, но это лучше будет обсудить во время следующего неофициального визита:-)).

          С наилучшими пожеланиями,
          Евгений Чекашкин

          [ Ответить ]
          • Re: Acetabular fracture
            Отправитель: Anatoly F. Lazarev 09 Сентябрь 2004, 19:18
            Женя. Внимательно рассмотри вертлужную впадину изнутри. Есть колонны - опорно-поддерживающие структуры в собранном виде представляют Эфелеву башню или треугольник - жесткая нагружаемая конструкция - это как остов. Внутри треугольника вписана подкова дугой кверху - это опорно-артикулирующая поверхность - точная репозиция нужна только по ней. И то я предполагаю возможны допуски не только 2 мм, но и больше. Дно впадины не участвует в артикуляции. Кроме того, по
            достаточному опыту консервативного лечения в Сов. период, не все оскольчатые переломы впадины вызывают проблемы в ближайшем периоде до 10 лет. Кроме того, существует вторичная конгруэнтность (об этом спроси у Свердловчан, особенно у Рункова). Короче, Жека - нужно новая классификация переломов вертлуги и новые критери оценки результатов смещения и репозиции, т.к. то, что мы видим глазами не соответствует X-ray, да и КТ не дает полного представления. Думай, жду твоих решений. ЛАФ.

            [ Ответить ]
            • Re: Acetabular fracture
              Отправитель: Evgueny Tschekashkin 10 Сентябрь 2004, 09:31
              > Внимательно рассмотри вертлужную впадину >изнутри. Есть колонны - опорно-поддерживающие
              >структуры в собранном виде представляют Эфелеву >башню или треугольник - жесткая нагружаемая
              >конструкция - это как остов. Внутри треугольника >вписана подкова дугой кверху - это
              >опорно-артикулирующая поверхность - точная >репозиция нужна только по ней.

              С этой моделью я знаком, кажется это модель Эмиля Летурнеля и то, что она напоминает Эйфелеву
              башню неудивительно:-))
              А если серьёзно, то полулунный хрящ при одно, двухколонных переломах всегда повреждается, тот
              же механизм split-depression, отсюда помимо репозиции колонн необходимо поднимать вдавленный фрагмент и дополнять костной пластикой. Другой момент, о котором я думаю - отрыв - разрыв ацетабулярной губы в зонах перелома колонн. Этому внимания не уделяется, хотя структура в функциональном плане важная.

              > И то я предполагаю возможны допуски не только 2 мм, но и больше.

              По известным постулатам остеогенеза для костного сращения перелома необходим прямой кость - кость контакт , хотя эволюция этого понимания привела к развитию биологической фиксации, при которой, как практика показывает, мозолеобразование наступает и приналичии межфрагментарного диастаза. Это же применительно и к регенерации хряща при мозаичной хондропластике - Cartilage floating эффект, что подтверждает допустимость межфрагментарного диастаза.
              Единственный момент, необходима стабильная первичная фиксация (при нестабильной фиксации и наличии диастаза междуфрагментами - фиброзное сращение) - эта идея подтверждена практическими
              наблюдениями - во время артропластики тазобедренного сустава деформированного в результате посттравматического артроза спустя 10 лет линии перелома вертлужной впадины были четко видны, стабилизации фрагментов впадины после травмы не было выполнено. Поэтому реконструкция впадины - дело жизненно важное: больше хирургов будет этим заниматься- меньше инвалидов будет хромать по улицам:-))


              > Дно впадины не участвует в артикуляции. Кроме
              > того по достаточному опыту консервативного
              >лечения в Сов. период не все оскольчатые переломы >впадины вызывают проблемы в ближайшем периоде
              >до 10 лет.

              Согласный я на все сто, однако сдается мне, что только краевые типа А переломы сохраняют мобильность сустава, хотя насколько безболезненны движения и их объем - ответ спорный.

              > Кроме того существует вторичная конгруэнтность (об этом спроси у Свердловчан, особенно у Рункова).

              О вторичной конгруэнтности ничего не знаю, хорошо бы спросить(адресок бы)

              > Короче, Жека - нужно новая классификация >переломов вертлуги и новые критери оценки
              > результатов смещения и репозиции,

              Раз партия сказала надо - комсомол ответил есть:-)) еще бы опыта поднабраться, пооперировать случаев 50 хотя бы для начала разгона, а там можно и определяться во взглядах и критериях, к слову, clinical pathways of acetabular fractures буду расчищать и расширять:-))

              >т.к. то, что мы видим глазами не соответствует X-ray, да и КТ не дает полного представления.

              В этом плане трехмерная реконструкция должна помочь, все агитирую местных радиографов (радиологи все очень заняты более важными делами)

              >Думай, жду твоих решений.

              Для начала можно подумать о кандидате в доктора, а там может и на доктора настоящего выучиться:-))

              С наилучшими пожеланиями, признателен за советы, а детали можно будет обсудить в пустыне Намиб после купания в водах Ворадеро (кажется там будет проходить грядущий SICOT), плотность населения в Намибии самая низкая на кв км, поэтому никакой суеты и отвлекающих моментов- можно целиком и полностью сконцентрироваться на обсуждении.
              Евгений Чекашкин

              [ Ответить ]
              • Re: Acetabular fracture
                Отправитель: Алексей Владимирович Рунков 10 Сентябрь 2004, 15:31
                Всем привет!
                Ничего не писал, т.к. шибко занят домашними делами (сыну 3 месяца.).
                > Другой момент, о котором я думаю - отрыв - >разрыв ацетабулярной губы в зонах перелома колонн. Этому внимания не уделяется, хотя структура в функциональном плане важная.>

                При двухколонных переломах повреждения губы, как правило, НЕТ - это единственная структура, которая удерживает сустваные фрагменты вместе вокруг головки бедра, что создает предпосылки при этом виде повреждения к появлению вторичной конгруэнтности (Летурнель), когда впадина становится глубже, а суставные фрагменты, как материки, разъезжаются по шарику друг от друга, но плотно его обхватывают, сохраняется шаровая опора.
                Это природное явление можно воссоздавать при поперечно-ориентированных переломах, отсекая свод - вторичная хирургическая конгруэнтность.
                Существует 3 цели оперативного лечения:
                1 анатомическая репозиция,
                2 если не получается первое - вторичная хирургическая конгруэнтность,
                3 если неполучается ни 1, ни 2ое - реконструкция для эндопротеза.
                Для достижения результата при восстановительной операции необходимо воссоздание конгруэнтности суставной поверхности свода, а не всей впадины и, тем более, можно принебречь внесуставными фрагментами, если они не участвуют в стабильности тазового кольца.
                >т.к. то, что мы видим глазами не соответствует X-ray, да и КТ не дает полного представления.

                >В этом плане трехмерная реконструкция должна помочь, все агитирую местных радиографов (радиологи все очень заняты более важными делами)

                Чтение рентгенограмм сложная штука, не у всех в голове работает компьютер с трехмерной реконструкцией в уме. Я сейчас работаю над пособиями по трактовке полипроекционной рентгенографии, многих ошибок можно избежать, научившись трактовать определенные признаки типов повреждений и отдельных особенностей (импрессия, высота перелома, объем дефекта и т.д.), упрощенный вариант пособия сейчас в Москве на рецензии.
                Полезна разработка алгоритмов рентгендиагностики, а главное - трактовки снимков.
                КТ со срезами 2 мм дает исчерпывающую инормацию о костях, трехмерка, конечно, чудо как полезна, однако без снимков в 3 проекциях тоже может дать ошибочное представление, да ине всем она доступна.
                На более важный вопрос - А что с хрящом? ответа не дает ни одно исследование, кроме как глазом посмотреть, а жаль!

                По поводу классификаций - освоить бы имеющиеся до блеска, многие вещи трактуются произвольно.
                По крайней мере, глубже вида повреждения (определения, одно- или двухколонный перелом) никто ими не пользуется, а зря. К двухколонным повреждениям сплошь и рядом по незнанию относят поперечные. Чего, например, стоит понятие высоты повреждения колонн, транстектальный он или юкстатектальный.
                На сегодня хватит, потом еще чего-нибудь напишу.

                [ Ответить ]
                • Re: Acetabular fracture
                  Отправитель: Evgueny Tschekashkin 11 Сентябрь 2004, 10:10
                  Уважаемый Алексей Владимирович !




                  АВ> Всем привет!

                  АВ> Ничего не писал, т.к. шибко занят домашними делами (сыну 3 месяца.).

                  ЕИ - С ответом можно не торопиться( как-нибудь на досуге, когда возникнет
                  желание) потому как воспитание подрастающего поколения причина более чем
                  уважительная и знакомая, правда, 3 мес рубеж уже давно, давно позади
                  >
                  АВ> При двухколонных переломах повреждения губы как правило НЕТ - это
                  > единственная структура, которая удерживает сустваные фрагменты вместе
                  > вокруг головки бедра, что создает предпосылки при этом виде
                  > повреждения к появлению вторичной конгруэнтности (Летурнель),
                  ЕИ- По периметру впадины губа сохранена т.е. она не РАЗОРВАНА, но нет ли её
                  ОТРЫВА хотя бы частичного при смещенных фрагментах колонн? или её природная
                  эластичность настолько высока, что подобного и в принципе невозможно ? Ваш
                  метод диагностики повреждена или не повреждена губа - артротомия,
                  артроскопия ? или это постулат ?( прошу прощения , если вопросы несерьёзные,
                  некорректные, но судя по тому , что Проф. АФЛазарев сослался на Вас, у Вас
                  большой опыт в этом вопросе и мне было бы интересно знать ответ)
                  АВ> Существует 3 цели оперативного лечения:
                  > 1 анатомическая репозиция,
                  > 2 если не получается первое - вторичная хирургическая конгруэнтность,
                  ЕИ- Следуя вышеупомянутому высказыванию проф. Летурнеля, в результате
                  травмы неповреждаемая губа уже создает вторичную конгруэнтность. Поэтому
                  вторичная конгруэтность скорее не цель оперативного лечения, а его
                  неадекватность ?
                  АВ> 3 если неполучается ни 1 ни 2ое - реконструкция для эндопротеза.
                  ЕИ- ????? 2ое уже очевидно до начала операции
                  АВ> Для достижения результата при восстановительной операции необходимо
                  > воссоздание конгруэнтности суставной поверхности свода, а не всей
                  > впадины .
                  ЕИ- Стабильность тазобедренного сустава при таком подходе не страдает?

                  АВ> Чтение рентгенограмм сложная штука,
                  ЕИ- Согласен на все сто+ очень непросто добиться качественного снимка,

                  АВ> пособиями по трактовке полипроекционной рентгенографии, многих ошибок
                  > можно избежать, научившись трактовать определенные признаки типов
                  > повреждений и отдельных особенностей (импрессия, высота перелома,
                  > объем дефекта и т.д.), упрощенный вариант пособия сейчас в Москве на
                  > рецензии.
                  ЕИ- есть ли электронная версия работы и если да, то как с ней можно
                  познакомиться ?

                  АВ> На более важный вопрос - А что с хрящом? ответа не дает ни одно
                  > исследование, кроме как глазом посмотреть, а жаль!
                  ЕИ- ЯМР ?

                  Евгений И.Чекашкин
                  WCH


                  [ Ответить ]
      • Re: Acetabular fracture
        Отправитель: Djoldas Kuldjanov, M.D. 09 Сентябрь 2004, 00:42
















        Уважаемые коллеги, Евгений

        >Инлет проекция и Кт таза были выполнены. Вот в отношении Judet views
        >в остром периоде как то не очень лежит душа поворачивать больного

        -Понимаю:., но с Judet views легче классифицировать перелом. При разработке классификации перелома ацетабулум Emil Letournel имел только три основные рентгеногафические позиции, впоследствии названные им в честь своего босса Judet (братья R&J. Judet), с которым он проработал всю жизнь. Для классификации перелома ацетабулум КТ стали применять чуть позже.

        > Вопрос, который возник у меня- по поводу оптимальной тактики
        > хирургии: вся фиксация в один этап из расширенного доступа или
        > последовательно сначала бедро и позже реконструкция впадины,
        > комбинированный доступ к впадине отдельно к передней и задней
        > колоннам или из расширенного илеофеморального одного доступа.

        -С идеей extended iliofemoral approach согласен, хотя он очень травматичный, если Вы выбрали данный доступ, то пластина должна сидеть снаружи на супра ацтабулярной поверхности?

        Осторожно с гетеротопической оссификацией, доступ дает наибольшее процент осложнении.

        Что вы делаете для профилактики НО и профилактики тромбоза (DVT), все-таки политравма и каков режим для мобилизации? Мой режим: при отсутствии других противопоказаний, ставить на костыли без нагрузки на конечность на 12 недель и назначение профилактической дозы Lovenox 40 mg ежедневно до активизации больного и с ежемесячным рентген контролем.

        Для профилактики НО одноразовая 600-1000 рад. облучение или аспирин, хотя разные мнения по поводу облучения, но при extended iliofemoral approach я бы провел одноразовую облучение.

        >Все-таки решил остановиться на одноэтапном подходе и спустя 5 дней
        >(как раз и наборы привезли) из расширенного илеофеморального доступа
        >сначала фиксировал реконструктивным штифтом Smith&Nephews бедро и
        >шейку (благо перелом шейки 2 типа -относительно стабильный) затем
        >фрагмент крыла подвздошной кости
        >Lag screw, далее пластина на заднюю колонну и винты в переднюю колонну.

        Пластина на обе колонны и Lag screw с передней к задней, тактика правильная.

        >(с размерами и направлением винтов ошибка вышла:-((, но
        >интраоперационно у меня была полная уверенность , что винты *ушли* в
        >лонную кость).

        с кем не бывает: интраоперационно порою бывает сложно оценить трехмерно, опыт и оснащение: intraoperative C-arm image and radiolucent operative table (Jackson type) and possible Judet table.

        >> Что фиксировать первым в Ipsilateral Femoral and Neck fractures,
        >> это часто задаваемый вопрос на экзамене в American Board of
        >> Orthopedic Surgery и правильный ответ: фиксация шейки затем бедро.

        >Вопрос интересный, но практически закрытая репозиция нестабильного
        >перелома шейки бедра при нефиксированном диафизарном переломе
        >представляется мне сложным делом, ведь необходимая дистракция и
        >ротационный маневр, прежде всего прикладываются к диафизарному
        >перелому. С открытой техникой это проще, но каков принципиальный
        >момент в подходе, требуемом американским бордом?

        Согласен, при открытой технике любой метод подойдет, в зависимости от оснащения, как говорят "dealer choice", кому Cadillac, кому Запорожец.
        При закрытом ипсилатерал переломе бедра и шейки, сперва фиксация перелома шейки, затем бедра, такой ответ удовлетворит американ борд.
        Ответь правильно на экзамене, а в жизни делай, как тебе нравится.

        >Ведь очевидно, что фиксация ипсилатеральных переломов осуществляется
        >в один этап и второй момент в том, что все разнообразие
        >реконструктивных штифтов предназначенных для фиксации ипсилатеральных
        >переломов основано на фиксации диафиза и потом через направитель
        >проводится винт в шейку и не наоборот?
        >Хотя если рассматривать поэтапный подход, то безусловно шейка
        >фиксируется в первую очередь(если состяние больного не позволяет
        >выполнить все одномоментно.)

        При закрытом рекон найл, да - бедро, затем шейка, я имел виду, если больной уж очень, очень тучный (если ваших краях такие больные редкость, то у меня выращенных на технологии Макдональдс уйма)
        ретроградное введение бедра штифта легче, чем антеградное.
        Обычно я временно стабилизирую шейку спицами, затем ретроградно бедро, здесь и рычаг и ротация, а потом возвращаюсь к шейке и фиксирую окончательно.
        При рекон наил, мои особенные почтения:
        (Recon Type of Nail 75% femoral Neck nonunion, Ipsilateral Neck/Shaft Fx. Complications And Their Treatment, Watson JT, Moed BR:CLIN ORTHOP 399; 78-86 2002 ) нет проблем, можно применить Рекон наил легко и быстро, только необходим обьяснить больному о возможности повторной операции на шейке.W%W

        >> Сакро-илиак разрыв рекомендуется фиксация cannulated screws, или
        >> если разрыв небольшой
        >Учитывая, что только передний связочный комплекс был поврежден( по
        >данным КТ),поэтому от фиксации винтами я воздержался.

        Правильно, согласен..

        >И первое и второе, пока в стадии равзития (свой тазовый набор
        >госпиталь не покупает, предпочитая каждый раз заказывать из Joburga),
        >опыт тоже постепенно появляется.

        Для неопытного неплохая работа, желаю в следующий раз чтобы у тебя "сэрдце не затрепетало" от увиденного после операци рентгенограммы, удачи тебе.

        А опыт конечно нужен, который набирается со временем, будешь в наших краях, зайди потолкуем. Что такое Joburga, это Казахстан?




        [ Ответить ]
        • Re: Acetabular fracture
          Отправитель: Evgueny Tschekashkin 09 Сентябрь 2004, 14:21
          Уважаемый Kuldjat,

          Спасибо за комментарии по представленному случаю.

          > -Понимаю…., но с Judet views легче классифицировать перелом.

          Согласен, с одной стороны проще и дешевле выполнить стандартные проекции вертлужной впадины, но к сожалению практически далеко не все радиографы, которые дежурят (несмотря на разъяснения, что и как надо сделать ) в состоянии воспроизвести в жизни, поэтому максимум, что я смог добиться это помимо стандартного АР view ещё и инлет, КТ для радиографов проще выполнить, а для меня информативнее и быстрее, с меньшим *сотрясением воздуха*.:-))

          > -С идеей extended iliofemoral approach согласен, хотя он очень
          > травматичный, если Вы выбрали данный доступ, то пластина должна
          > сидеть снаружи на супра ацтабулярной поверхности?

          Доступ травматичный, обширная диссекция ягодичных мышц, бедренных ротаторов, но для меня на данном этапе необходимо получить ясное представление о методологии репозиции,( хоть русский язык и богат, но английский более компактно передает идею:-)), словом - hand in experience и как только это
          понимание сформируется можно думать и о менее травматичных доступах, перкутанной фиксации, хотя для этой технологии необходим *прозрачный* стол, который Вы упомянули.
          > Осторожно с гетеротопической оссификацией, доступ дает наибольшее
          > процент осложнении.

          Опасность существует и по данным проф. Хелфета (Hospital of experimental surgery, NY) НО наступает в 50% случаев , несмотря на проводимую
          профилактику облучением и индометацином. Недавно мы обсуждали на сайте эту проблему и Николай Вольфсон поделился своим опытом , а именно, наряду со стандартным подходом, он применяет тщательную ирригацию раны перед ушиванием, по его совету промываю рану 2-3 л ирригационного раствора, в послеоперационном периоде профилактика индометационом 75 мг ежедневно 4 недели (несколько статей из JBJS показали незначительное превосходство радиации по сравнению с индометацином)

          > профилактики тромбоза (DVT),

          гепарин 2500 мг tds s/c , под контролем FBC, ранняя мобилизация больного, до удаления дренажей - в кровати( passive+ active assisted), а после, на 2-3 сутки с костылями без нагрузки на ногу, в зависимости от болевых ощущений частичная нагрузка начинается после 6-8 недель.
          Ежемесячный осмотр в поликлинике с рентгенконтролем ( хотя одна больная (несколько похудее представленной на фотографиях)так ни разу и не появилась - зачастую compliance становится проблемой)


          > ретроградное введение бедра штифта легче, чем антеградное.

          Абсолютно согласен, технически проще и особенно ценный подход при сочетании переломов бедра и б.б кости - один разрез и все фиксировано, свои локальные трудности :-)) ретроградный набор надо заказывать и мотивировать у администрации госпиталя- это все время.

          > При рекон наил, мои особенные почтения:
          > (Recon Type of Nail 75% femoral Neck nonunion, Ipsilateral Neck/Shaft
          > Fx. Complications And Their Treatment, Watson JT, Moed BR…CLIN ORTHOP
          > 399; 78-86 2002 ) нет проблем, можно применить Рекон наил легко и
          > быстро, только необходим обьяснить больному о возможности повторной
          > операции на шейке.W%W

          В представленном случае мне повезло - стабильный перелом шейки бедра - не нужно было терять время на его репозицию, но при 3- 4 типе Garden практически во всех случаях, что мне приходилось оперировать (артропластика), есть интерпозиция капсулой, видимо отсюда и высокий процент
          несращений.

          > "сэрдце не затрепетало" от увиденного после операци рентгенограммы,

          не совсем так:-))
          *затрепетало* от того, что давно ждал такого случая и наконец представилась такая возможность.


          будешь в наших краях, зайди потолкуем.

          Спасибо за приглашение,А где же эти края ?

          >Что такое Joburga, это Казахстан?

          Это местное , разговорное название Johannesburg, South Africa.


          Всего Доброго,

          Евгений Чекашкин

          [ Ответить ]
    Re: Acetabular fracture
    Николя Прихненко 02 Сентябрь 2004, 16:06
    Уважаемый коллега
    В такой ситуации я бы рекомендовал провести 2 отдельных операции
    1) остеосинтез бедренной кости при испоьловании гвоздя Stryker-Howmedica "Long Gamma" Locking Nail
    2) что касается вертлужной впадины я бы выполнил дополнительное рентгеновское исследование 2 косыми снимками с наклоном в 45 градусов чтобы оперделить тип перелома. Это бы позволило решить вопрос о выборе доступа для проведения остеосинтеза

    Желаю удачи


    [ Ответить ]

    • Re: Acetabular fracture
      Отправитель: Evgueny Tschekashkin 05 Сентябрь 2004, 22:16
      Уважаемый Николя,

      Спасибо за совет и участие. Тактически я последовал вашему совету, единственное, что решил все сделать в один этап, учитывая стабильное общее состояние больного и определенные местные организационные сложности.

      >
      > Желаю удачи

      Спасибо, контрольные снимки я отправил на сайт, надеюсь, что сервер их пропустит:-))

      Всего вам доброго,
      Евгений Чекашкин

      [ Ответить ]
    Re: Acetabular fracture
    Anatoly F Lazarev 03 Сентябрь 2004, 22:18
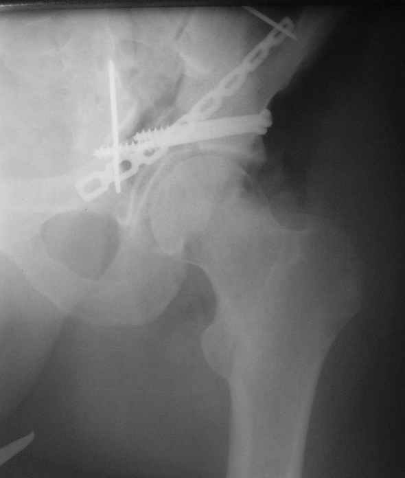
    Женя! Класный перелом. Отлично репонируется изнутри таза, но лучше фиксированть сзади. Классический перелом для двустороннего доступа.
    Однако есть альтернатива. Репозиция из подвздошного доступа тазовыми щипцами с разнодлинными браншами или тазовым пистолетом, а фиксация задней колонны через седалищный бугор или тазрвыми винтами 4,5 или каннюлированными 6,5 или 7,3. По-моему я посылал на ортофорум такой снимок, когда жаловался на ишемический неврит седалищного нерва через сутки после операции. Не забудь про шейку бедра - мне кажется будет хорош длинный PFN любой фирмы, какую ты найдешь, а нет так UFN + miss a nail, как это здорово делают мои земляки - Ебурбуки. Пока.





























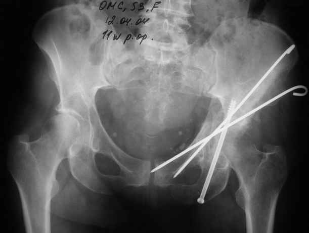
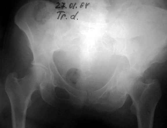
    27.01.04

    27.01.04

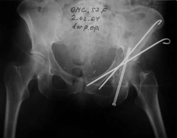
    02.02.04

    02.02.04

    10.02.04

    10.02.04

    12.04.04

    12.04.04

    12.04.04

    02.06.04

    02.06.04

    [ Ответить ]

    • Re: Acetabular fracture
      Отправитель: Alexander Chelnokov 04 Сентябрь 2004, 19:00
      Надо сказать, что сочетание переломов вертлужной впадины + шейка + диафиз бедра - довольно редкое. Шейка+диафиз - 5% от переломов бедра, впадина + шейка = 5% от переломов впадины, а уж все три перелома...

      Что интересно, при переломах шейки и диафиза бедра перелом шейки всегда с вертикальной линией. То есть фиксировать надо хорошо, и лучше с вальгизацией. Поэтому вполне приемлем и ретроградный остеосинтез диафиза бедра, а шейки - отдельно спонгиозными винтами. Если необходима операция на вертлужной впадине с отсечением большого вертела, это, наверно, наиболее практичный вариант.

      [ Ответить ]
    • Re: Acetabular fracture
      Отправитель: Evgueny Tschekashkin 05 Сентябрь 2004, 22:19
      Уважаемый Анатолий Федорович!

      Спасибо, что нашли время откликнуться, ход ваших мыслей по тазовой теме мне очень интересен:-))


      > Женя! Класный перелом.

      Согласен на все 100, когда увидел снимки, аж сэрдце затрепетало:-))

      АФ- Отлично репонируется изнутри таза,

      Откровенно говоря, репозиция оказалась очень непростым делом, несмотря на то, что при расширенном илео-феморальном доступе все переломы как на картинке.
      Сначала пытался отрепонировать смещенную заднюю колонну, но ничего из этого не получалось пока не репонировал фрагмент крыла подвздошной кости, который клином входил между отломками тела илии и задней колонной дистанция-то всего каких-то 3-5 мм, но чтобы сложить этот puzzle пришлось попотеть, я уже и дистракционные щипцы и бедренный дистрактор крутил, в конце концов все состоялось, а передняя колонна уже саморепонировалась, мне оставалось только компрессирующие винты завинтить
      но лучше
      > фиксированть сзади. Классический перелом для двустороннего доступа.

      В этом у меня и возникали первоначальные сомнения, как фиксировать из комбинированных длступов или одного расширенного

      > Однако есть альтернатива. Репозиция из подвздошного доступа тазовыми
      > щипцами с разнодлинными браншами

      Пробовал и разновеликими и равновеликими прямыми и изогнутыми тазовыми щипцами. По длине репозиция удается, но имеется остаточное ротационное смещение нижнего отдела вертлужной впадины кнаружи и его устранить было не просто, щипцы постоянно *соскальзывали*. ( как в анекдоте про поручика
      Ржевского и процесс на фортепиано...:-))

      По-моему я посылал на ортофорум такой
      > снимок,
      Да, это я помню
      > Не забудю прошейку бедра - мне кажется будет
      > хорош длинный PFN любоу фирмы, какую ты найдешь, а нет так UFN + miss
      > a nail, как эт о здорово делаюм мои земляки - Ебурбуки.

      Приблизительно так и сделал

      С наилучшими пожеланиями,
      Евгений Чекашкин

      [ Ответить ]
    Re: Acetabular fracture
    Anatoly F Lazarev 03 Сентябрь 2004, 22:39
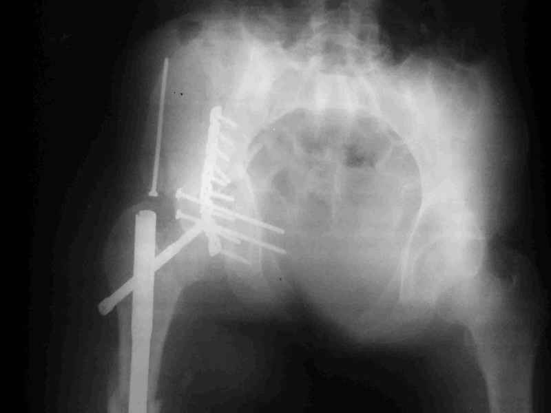
    Высылаю пример еще одного случая, остеосинтез пластиной из подвздошного доступа.























    [ Ответить ]

    • Re: Acetabular fracture
      Отправитель: Djoldas Kuldjanov, M.D. 09 Сентябрь 2004, 00:43
      Анатолий, во второй презентации, какой Ваш диагноз, не поперечный ли перелом ацетабулум? Вы написали, Ваш доступ был подвздошный, по моему мнению, ваш доступ лимитировал Вас к anterior column и постоянно надо было держать в контроле за натяжением femoral artery and vein, иначе грозит закупоркой артерии или вены, (были и такие experience), при сгибании в тазобедренном суставе, которое ухудшает и так ухудшенный доступ. По-моему, если доступ расширить, т.е. formal Ilioinguinal approach то применить пластину подлиннее 12-14 дырок на pelvic brim, через первое окно Ilioinguinal approach, т.е. Symphisis side, после рассечения места прекрепления muscle rectus abdominus, где достаточно места для 4 шурупов, тогда таким образом фиксированный перелом держится более стабильно и 4.5 мм шурупы для колонн можно было бы пропустить через пластину кзади впадины.
      Примерно такой метод выбрал бы для моих больных.

      С уважением,
      Джолдас Кульджанов

      P.S. В отличии от моего родного, русский язык для меня, хотя говорю плохо, с кцентом, был вторым языком общения и вроде раньше в союзные времена не имел проблем с пониманием. Последнее время я перестал понимать русский язык, возможно, наряду с другими бывшими братскими союзными республиками Россия переходит на свой "новорусский" язык.

      Например, знал, что такое "бурундуки", "барсуки", даже моя жена не знала обозначение... "как это здорово делают мои земляки :Ебыр..буки",
      что это?
      Кстати на сайте очень много различных сокращении и современных сленгов, нуждающихся в переводе

      DK

      [ Ответить ]

     

    ( Ответить )

    Powered by Zope  Squishdot Powered MedLink
    Посетитель: 0230400
      "По форме правильно, а по существу - издевательство" В.И.Ленин
    ©2001-2019Orthoforum Coordinator.
    [ Главная | Отправить сообщение | Поиск | Админ ]