AOTRAUMA.ORG Центр Илизарова  

Ортопедия и травматология Общие вопросы/General questions Help Информационные технологии в медицине
 вверх
 отправить
 поиск
 админ
 главная
 Предыдущее
 Весь тред


Re: Hip joint
Alexander Chelnokov 21 Ноябрь 2004, 23:14
Действительно, какой вопрос ни возьми, можно писать статью "Противоречия в [подставь что угодно]".

a> Прочему именно два раза, а не один или три?

Вряд ли этому есть какое-то рациональное обоснование. Даже этот один раз может быть по трудоемкости и травматичности такой, что пациента
можно на тот свет отправить.

a> А тему непонятной для меня живучести клиновидных остеотомий, за
a> которую высказался Андрей Крылов (правда, по другому случаю), стоит
a> обсудить отдельно.

Какая у тебя точка зрения на клиновидные остеотомии?
  • Сообщения о Ортопедия и травматология
  • Также Alexander Chelnokov
  • Связаться с автором
  • Ответить

    Re: Hip joint
    Alexander Artemiev 21 Ноябрь 2004, 23:50
    Точка зрения - резко отрицательная.
    Начну немного издалека...
    Остеотомии я осваивал в Кургане.
    Ни разу мне не дали, естественно, сделать (там это не принято), но много раз показали.
    Причем речь идет о том, что называется кортикотомией, хотя тоже вопрос
    спорный...
    Во всяком случае кость (бедренная или какая другая) пересекается
    долотом шириной 5 мм. Очень элегантно и красиво.
    Потом я был в ЦИТО.
    И везде говорили - остеотомия по Репке.
    У одного доктора (не буду называть фамилий) я спросил - а что это
    такое.
    На что получил ответ типа: "Милый юноша. Врач, который не знает, что
    такое остеотомия по Репке не может считать себя ортопедом..."
    Ну, думаю, ёлы-палы...
    Прочитал всё, что нашел. А нашел немало.
    Резюме таково:
    Все фигурные остеотомии были предложены до Илизарова.
    Он тоже с них начинал. В итоге отказался от них в пользу
    поперечных.
    Представьте себе, во что обходится вырубание клина:
    большой разрез, кровопотеря, выпиливание с какими-то мнимыми
    расчетами каких-то углов. Сколько знаю, всё это выливается в так
    называемые технические трудности. В итоге - укорочение, рубцы, в
    проксимальном отделе б/б кости - повреждение малоберцового нерва,
    неадекватная коррекция и пр.

    Куда проще сделать из прокола поперечную кортикотомию и аппаратом
    вывести нужный угол, который потом успешно заполнится регенератом.
    Наиболее простая схема - угол до 25 град можно вывести
    одномоментно, более 25 - постепенно.
    Это в двух словах.
    Но должен сказать, что клиновидная остеотомия неубиваема.
    Никакая логика не позволяет убедить врачей, которых однажды
    научили рубить клин, что есть что-то более простое и эффективное.

    Кстати, недавно в одном из последних учебников по оперативной
    хирургии, переживающем очередное переиздание увидел самую
    прикольную из всех виденных мною картинок - остеотомия бедра
    по Богоразу - косточка, нарезанная колбаской. Кто назовет мне
    человека, который хотя бы раз в жизни видел это в натуре?
    А про дистракционный остеосинтез - ...
    А это последнее издание учебника для студентов.
    К слову о том, что всех нас учили одинаково.


    Удачи.
    Александр Артемьев
    [ Ответить ]

    • Re: Hip joint
      Отправитель: Andrey Kapustin 21 Ноябрь 2004, 23:53
      Полностью с Вами согласен, хотя никогда в жизни мне не приходилось делать клиновидную остеотомию. Но как-то и надобности не возникало. Всегда хватало и поперечной. А без иллюстрации остеотомии бедра по Богоразу учебник был бы не так красив ;)
      Андрей Капустин.

      [ Ответить ]
      • Re: Hip joint
        Отправитель: Evgueny Tchekashkine 23 Ноябрь 2004, 02:26
        Дорогой товарищ по ремеслу,

        как жы Вы можете быть согласны со мнением АА Артемьева, если сами никогда не делали клиновидных остеотомий?
        Для меня фигурные остеотомии очень увлекательны - воплощение своих расчетов коррекции оси в практический результат - конечно, дожна быть соответствующая техническая база по крайней мере полноценные рентгенограммы, ЭОП, пневмо или электропилы с острыми полотнами нужной ширины и длины, направляющие спицы и т.д. Если все спланировано и обеспечено - так называемые технические трудности исчезают.

        Евгений И Чекашкин

        [ Ответить ]
      • Re: Hip joint
        Отправитель: Alexander Chelnokov 23 Ноябрь 2004, 02:31









        Если, например, доводится лечить больных с псевдартрозами шейки бедра, то надобность есть, и приходится. См. приложение.

        [ Ответить ]
        • Re: Hip joint
          Отправитель: Andrey Kapustin 23 Ноябрь 2004, 02:36
          Спасибо за науку. Я уже больше 3 месяцев слежу за дискуссиями на ортофоруме и чувствую, что я не зря провожу время за компъютером, хотя иногда берет
          тоска - о таком уровне технического оснащения и инструментария, которые вы демонстрируете, мне пока приходится только мечтать. Хотя теперь шансов что-то изменить в лучшую сторону у меня значительно больше - назначен на должность начальника нашей МСЧ.
          С уважением,
          Капустин Андрей
          МСЧ-59, г.Заречный Пензенской области.

          [ Ответить ]
          • Re: Hip joint
            Отправитель: Alexander Chelnokov 23 Ноябрь 2004, 20:39
            A> и чувствую, что я не зря провожу время за компъютером,

            У меня то же ощущение.

            A> хотя иногда берет тоска - о таком уровне технического оснащения и
            A> инструментария, которые вы демонстрируете, мне пока приходится

            Это, наверно, больше относится к коллегам, работающим за пределами бывшего СССР.

            A> Хотя теперь шансов что-то изменить в лучшую сторону у меня
            A> значительно больше - назначен на должность начальника нашей МСЧ.

            Мои поздравления (а также соболезнования ;-) - легкой жизни явно не будет)! Назначение предлагаю виртуально "обмыть", чокнувшись об мониторы. Будем надеяться, с таким новым начальником компьютеризация больницы скоро будет вызывать зависть коллег из других учреждений.

            [ Ответить ]
          • Re: Hip joint
            Отправитель: Evgueny Tschekashkin 23 Ноябрь 2004, 21:47
            Примите поздравления с назначением и хочу пожелать , чтобы административные хлопоты не замучали вас, оставалось время и на ортопедию.
            Евгений И Чекашкин

            [ Ответить ]
    • Re: Hip joint
      Отправитель: Alexander Chelnokov 23 Ноябрь 2004, 00:03
      a> Куда проще сделать из прокола поперечную кортикотомию и аппаратом
      a> вывести нужный угол, который потом успешно заполнится регенератом.

      Если речь о диафизарных деформациях с укорочением, то тут остается только согласиться (хотя аппарат далеко не всегда необходим, и внутренние фиксаторы годятся).

      a> Наиболее простая схема - угол до 25 град можно вывести
      a> одномоментно,

      Даже при меньшем вальгусе в нижней трети бедра или в верхней трети голени - вполне предсказуемо может повиснуть стопа. Вот тут аппарат как раз и незаменим за счет уникальной возможности постепенной коррекции.

      a> Но должен сказать, что клиновидная остеотомия неубиваема.

      А у нее есть своя ниша - околосуставные остеотомии, когда не надо переудлинения, когда уравнивание длины достигается за счет изменения угла.

      a> по Богоразу - косточка, нарезанная колбаской. Кто назовет мне
      a> человека, который хотя бы раз в жизни видел это в натуре?

      Есть же полилокальный дистракционный остеосинтез - видимо, он в том числе основывается и на этой методике...

      a> А про дистракционный остеосинтез - ...
      a> А это последнее издание учебника для студентов.

      Актуальность учебников по нашей специальности - это отдельный больной вопрос. Да и вообще преподавание... Да и вообще система подготовки специалистов... Да и вообще система... ;-))

      [ Ответить ]
    • Re: Hip joint
      Отправитель: Evgueny Tchekashkine 23 Ноябрь 2004, 02:12
      Уважаемые коллеги,

      Сегментарные, клиновидные поперечные и косые, шеврон остеотомии применяются достаточно часто. Александр перечислил все возможные осложнения фигурных остеотомий, кстати не упомянул об аваскулярных некрозах головок плюсневых костей после шеврон остеотомий. Но вот удивительное дело на симпозиумах и в лекциях все ссылаются на некрозы и опасность выполнения таких остеотомий я же с подачи своих старших карифеев делаю эти остеотомии на протяжении последних 8 лет и ничего подобного не встречал - может бог миловал?,
      но в целом не вижу ничего ненормального в выполнении фигурных остеотомий - одномоментная коррекция оси, полная мобильность суставов, да и разрезы 4-8 см - что тоже не преступление перед человечеством. Может быть, я бы стал сторонником поперечных остеотомий ипостепенной коррекции в аппаратах, ежели бы прошел через курганскую школу, но в силу обстоятельств столкнулся с другим подходом к коррекции деформаций, который вполне эффективен и надежен, у меня не сложилось разочарования в этой технике. Поэтому и представленный раннее случай деформации бедра я бы решил сегментарной остеотомией бедра и фиксацией запирающим гвоздем - своего рода эндопротезом проксимального бедра и для больной, мне кажется, более комфортно иметь фиксацию штифтом
      нежели в громоздком аппарате, постоянный уход за спицами и вращение гаек.
      Хотя на вкус и цвет -товарища нет , Кому что нравится, а главное результат для больного.
      Евгений И Чекашкин

      [ Ответить ]
    • Re: Hip joint
      Отправитель: Djoldas Kuldjanov 23 Ноябрь 2004, 18:11













































      Уважаемые друзья,

      a>>> Это касается и клиновидных резекций.

      AC>> Какая у тебя точка зрения на клиновидные остеотомии?

      a>Точка зрения - резко отрицательная.

      Как я понял из выступления - резковато отрицательная реакция к клиновидной остеотомии…, или мой ограниченный русский язык не дает полную картину, о чем Александр пишет. Что имелось ввиду - рекомендации только поперечной остеотомии? И я не уверен, что с этим мнением согласятся все участники форума.

      a> ”Представьте себе, во что обходится вырубание клина: большой
      a> разрез, кровопотеря, выпиливание с какими-то мнимыми расчетами
      a> каких-то углов. Сколько знаю, всё это выливается в так называемые
      a> технические трудности. В итоге - укорочение, рубцы, в проксимальном
      a> отделе б/б кости - повреждение малоберцового нерва, неадекватная
      a> коррекция и пр.”

      Как в фильме ужасов….

      Как же без предоперационного плана при реконструкционных работах, без расчета, расчет градусов, почему только аппаратом Илизарова (никто не оспаривает преимущество метода), даже метод Илизарова тоже требует расчета, и еще ведь существуют и другие методы коррекции и фиксации.

      a> Но должен сказать, что клиновидная остеотомия неубиваема.

      Согласен.

      AK> -Полностью с Вами согласен, хотя никогда в жизни мне не
      AK> приходилось делать клиновидную остеотомию. Но как-то и надобности
      AK> не возникало. Всегда хватало и поперечной. А без иллюстрации
      AK> остеотомии бедра по Богоразу учебник был бы не так красив;

      Интересная мысль.

      AP> Вы хотите этим сказать, что можно при одномоментной коррекции до
      AP> 25 град оставить диастаз. Вопрос, почему именно 25 град. Не
      AP> припоминаю, работ обосновывающик такую тактику, в т.ч. и из Кургана

      Ничего не понимаю, при чем эти магические 25 градусов, откуда взяли эти цифры? Что за работа?

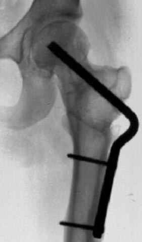
      Несколько снимков из моей коллекции, чтобы разьяснить, почему мы до сих пор делаем различные варианты остеотомии.

      На рисунке N1 предоперационный план лечения ложного сустава шейки бедра- линия ложного сустава, угол и направление введения импланта, клиновидная остеотомия в градусах и миллиметрах, второй снимок после коррекции, расчет, на сколько удлиняется конечность и размеры импланта;
      N3 рисунок окончательный снимок, после операции моя рентгенограмма должен выглядеть примерно как эта картина. На N4 снимке клин перед удалением; N5 послеоперации 3 нед.; N6 окончательная рентгенограмма.
      (доложен в Ст. Петербурге 2003 и в Москве 2004)

      варус при проксимальном отделе 95 градусной пластиной.


      С уважением Джолдас
      Кулджанов



      [ Ответить ]
      • Re: Hip joint
        Отправитель: Alexander Artemiev 24 Ноябрь 2004, 20:33
        Уважаемые друзья,

        AC>>> Какая у тебя точка зрения на клиновидные остеотомии?
        a>>Точка зрения - резко отрицательная.

        k> Как я понял из выступления - резковато отрицательная реакция к
        k> клиновидной остеотомииЕ, или мой ограниченный русский язык не дает
        k> полную картину, о чем Александр пишет.
        К остеотомии.

        Во всяком случае по отношению к обсуждаемому случаю (фиброзная дисплазия).


        k> Как же без предоперационного плана при реконструкционных работах, без
        k> расчета, расчет градусов,

        Как бы это сказать - очень просто...
        Если что-то не получилось во время операции, покрутил потом гаечки - и всё встанет на место.

        k> почему только аппаратом Илизарова (никто не
        k> оспаривает преимущество метода)

        Никто не оспаривает и достоинства других методов.
        Детский спор - кто сильнее - боксёр или каратист... In vina veritas...

        k> , даже метод Илизарова тоже требует
        k> расчета, и еще ведь существуют и другие методы коррекции и фиксации.

        При использовании внешних фиксаторов (не обязательно именно Илизарова) требования к точности предоперационных расчетов минимальные. Если честно, то при определенном навыке их можно вообще не делать. Можете меня за это дружно осудить :)
        При внетреннем остеосинтезе эти требования повышены. Потому что после операции уже ничего не исправишь. Отсюда и этот кружок рисования...

        AP>> Вы хотите этим сказать, что можно при одномоментной коррекции до
        AP>> 25 град оставить диастаз. Вопрос, почему именно 25 град. Не
        AP>> припоминаю, работ обосновывающик такую тактику, в т.ч. и из Кургана
        k> Ничего не понимаю, при чем эти магические 25 градусов, откуда взяли
        k> эти цифры? Что за работа?

        Пожалуйста...
        В частности (из того, что под рукой):
        Бородайкевич Р.Д. Лечение по Илизарову больных с неправильно сросшимися переломами костей голени (клинико-экспериментальное исследование): Дис. Е канд.мед.наук. - Курган, 1993. - 192с.
        Основной недостаток работы - она написана на русском языке:(
        Поскольку диссертация защищена в Кургане, то она, безусловно, отражает мнение института (других мнений там не бывает).
        В каких-то курганских методичках эти цифры также встречались.
        Конечно, не стоит из-за этих градусов убиваться - они ориентировочные...

        k> На рисунке №1 предоперационный план лечения ложного сустава шейки
        k> бедра- №6 окончательная рентгенограмма.
        k> (доложен в Ст. Петербурге 2003 и в Москве 2004)

        Случай интересный и показательный, поздравляю.
        Интересно бы посмотреть рентгенограмму таза (оба сустава) а также рентгенгорамму с захватом коленных суставов (по Dror Paley).

        С уважением Александр Артемьев

        [ Ответить ]
      • Re: Hip joint
        Отправитель: Писаревская Людмила Анатольевна 14 Июнь 2011, 20:14
        Уважаемый профессор!Пишет Вам пациентка,по-поводу которой с Вами разговаривал Игорь Анатольевич.Мы сегодня с трудом (в связи с нашим интернетом),отправили Вам информацию МРТ И МСКТ моего т/б сустава.Нижайшая просьба оценить проблему и высказать Ваше мнение.Мы узнали,что Вы скоро приезжаете в Ташкент.С нетерпением ждём момента,чтобы увидеться с Вами.А пока,если возможно,напишите адрес Вашего СКАЙПА.Мой адресс на СКАЙПЕ lusiya631.Зарегистрирован на имя Писаревской Людмилы.С уважением и надеждой!

        [ Ответить ]
    • Re: Hip joint
      Отправитель: Djoldas Kuldjanov 23 Ноябрь 2004, 18:21








































      пластическая модель; и коррекция бедра аппаратом Илизарова.
      Имею другие снимки тоже, получится как отчет о моей работе.

      С уважением Джолдас
      Кулджанов

      [ Ответить ]
      • Re: Hip joint
        Отправитель: Evgueny Tschekashkin 23 Ноябрь 2004, 21:28
        Уважаемый Джолдас,

        Почему не замена гвоздя с рассверливанием, а аппарат?

        Евгений И Чекашкин

        [ Ответить ]
        • Re: Hip joint
          Отправитель: Alexander Chelnokov 23 Ноябрь 2004, 21:29
          Попробую угадать - была инфекция?

          [ Ответить ]
          • Re: Hip joint
            Отправитель: Evgueny Tschekashkin 24 Ноябрь 2004, 21:09
            хотя даже если бы и инфекция , то nail exchange с рассверливанием канала - вариант дебрайдмента) Я думаю, что последовательность развития событий:
            Узкий к-м канал - тонкий гвоздь- усталостный перелом дистальных винтов - развитие нестабильности и как ее результат остеолиз вокруг гвоздя - деформация анатомической оси бедра. Похоже, что я понял почему аппарат, а не новый гвоздь:-)

            Всего Доброго,
            Евгений И Чекашкин

            [ Ответить ]
            • Re: Hip joint
              Отправитель: Alexander Chelnokov 24 Ноябрь 2004, 21:11
              ET> хотя даже если бы и инфекция , то nail exchange с рассверливанием канала -
              ET> вариант дебрайдмента)

              Да, но если, скажем, течет из инфицированных каналов запирающих винтов, да инфекция в дистальном метафизе бедра - устанешь сверлить.
              Аппарат в таком случае средство из серии "тише едешь - дальше будешь".

              ET> Я думаю, что последовательность развития событий:

              [...]

              ET> деформация анатомической оси бедра.

              Да, наверно. Но если ничего другого нету, ту небольшую деформацию можно было устранить дистрактором одномоментно ввести другой гвоздь.

              ET> Похоже, что я понял почему аппарат, а не новый гвоздь:-)

              Тогда делись догадкой скорей!

              [ Ответить ]
              • Re: Hip joint
                Отправитель: Evgueny Tschekashkin 24 Ноябрь 2004, 21:13
                > Да, но если, скажем, течет из инфицированных каналов запирающих винтов, да инфекция в дистальном метафизе бедра - устанешь сверлить.

                ЕТ-Теоретически это возможно, а практически трудно представить - все-таки уровень медицинского сервиса высок, поэтому вряд ли инфекционное воспаление может зайти так далеко.....



                ET> Похоже, что я понял почему аппарат, а не новый гвоздь:-)

                > Тогда делись догадкой скорей!

                ЕТ - Изначально костно-мозговой канал бедра был узкий, дальнейшее его рассверливание ещё больше скомпрометирует прочность бедра( латеральный кортекс дистального отломка уже истончен), приведет к дефекту наружной стенки - хотя это только мои догадки - хотелось бы знать мнение Джолдаса о выбранной тактике.

                [ Ответить ]

     

    ( Ответить )

    Powered by Zope  Squishdot Powered MedLink
    Посетитель: 0007192
      "По форме правильно, а по существу - издевательство" В.И.Ленин
    ©2001-2019Orthoforum Coordinator.
    [ Главная | Отправить сообщение | Поиск | Админ ]