AOTRAUMA.ORG Центр Илизарова  

Ортопедия и травматология Общие вопросы/General questions Help Информационные технологии в медицине
 вверх
 отправить
 поиск
 админ
 главная
 Предыдущее
 Весь тред


Re: Perelom N/3 kostei goleny
Дрягин В. 04 Январь 2007, 09:01
Послала ещё два снимка, если не пройдут, пошлю ещё. Дрягин. Если есть вопросы, готов ответить.





  • Сообщения о Ортопедия и травматология
  • Также Дрягин В.
  • Связаться с автором
  • Ответить

    Re: Perelom N/3 kostei goleny
    Дрягин В. 04 Январь 2007, 13:23
    Посылаю результат лечения предыдущего больного через год.



    С уважением Дрягин

    [ Ответить ]

    Re: Perelom N/3 kostei goleny
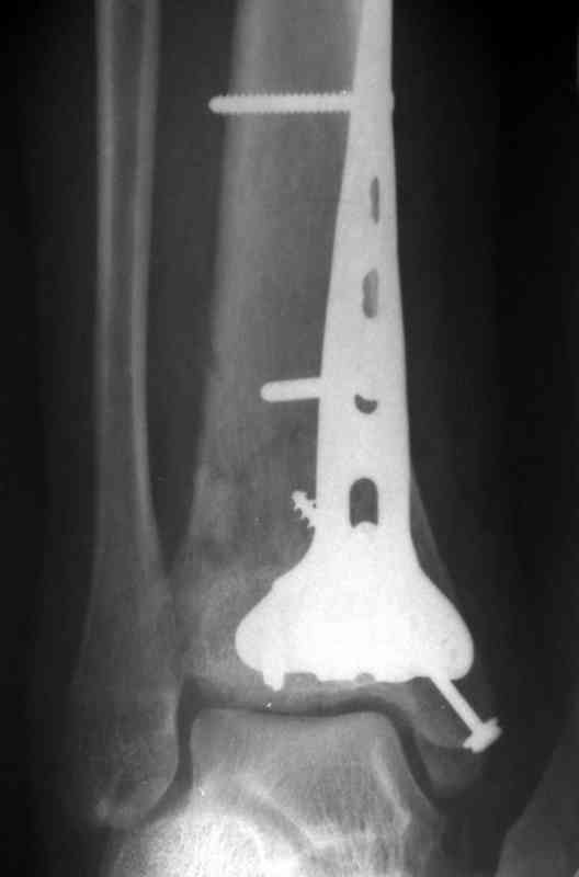
    Дрягин В. 04 Январь 2007, 13:28
    Кстати, при переломах переднего края по классификации АО В-3 при переломах пилона пластина укладывается по передней поверхности. Она достаточно тонкая и эластичная, не надо этого бояться. Посылаю три снимка.






    [ Ответить ]


    ( Ответить )

    Powered by Zope  Squishdot Powered MedLink
    Посетитель: 0010817
      "По форме правильно, а по существу - издевательство" В.И.Ленин
    ©2001-2019Orthoforum Coordinator.
    [ Главная | Отправить сообщение | Поиск | Админ ]