ВХОД ДЛЯ ПАЦИЕНТОВ
вверх
поиск
админ
главная
исходное
последующие
|
Re: высокая тибиальная остеотомия
послал Батал Шушания 10 Ноябрь 2009, 00:35
|

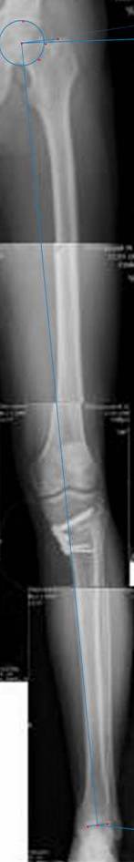
картинки оперированного пациента 40 лет, травма в 2006 году.
оперирован 06.11.2009г - корригирующая остеотомия большеберцовой кости.
|
| Послать ответ |
Обратите внимание: Поля с жирными названиями обязательны.
Старайтесь отвечать в рамках обсуждаемой темы, а не начинать новые обсуждения.
Указывайте адекватную тему сообщения, чтобы было ясно, о чем оно.
Не послайте сообщений не по теме (оффтопик), раздраженных, грубых или обидных комментариев. Здесь это неуместно.
|