AOTRAUMA.ORG Центр Илизарова  

Ортопедия и травматология Общие вопросы/General questions Help Информационные технологии в медицине
 вверх
 отправить
 поиск
 админ
 главная
 Предыдущее
 Весь тред


Re: высокая тибиальная остеотомия
Maxim Agalakov 08 Ноябрь 2009, 15:26
спасибо
  • Сообщения о Общие вопросы/General questions
  • Также Maxim Agalakov
  • Связаться с автором
  • Ответить

    Re: высокая тибиальная остеотомия
    Батал Шушания 10 Ноябрь 2009, 00:35



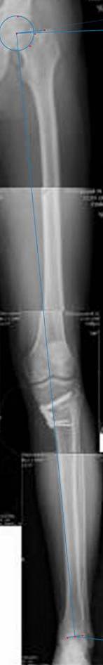
    картинки оперированного пациента 40 лет, травма в 2006 году.
    оперирован 06.11.2009г - корригирующая остеотомия большеберцовой кости.
    [ Ответить ]

    • Re: высокая тибиальная остеотомия
      Отправитель: Alexander Artemiev 10 Ноябрь 2009, 09:51
      Здравствуйте, Батал.
      Скажите, действительно ли эта остеотомия высокая?
      С уважением Александр Артемьев

      [ Ответить ]
      • Re: высокая тибиальная остеотомия
        Отправитель: Батал Шушания 11 Ноябрь 2009, 02:37
        Согласен с Вами, эта "скажем" не высокая остеотомия
        нужно было выше.....
        Я картинку собрал с некоторыми погрешностями, если провести отвес от центра вращения головки бедра до середины голени (на пациенте),то имеется небольшой вальгус (гиперкоррекция)конечно она (гиперкоррекция) не достигает 10 гр, но 5 гр она достигает.
        Проблема как сделать рентгеновские снимки а потом их совместить правильно, кто знает как решить этот вопрос. Ведь стандартные размеры рентгенкассет, оснащенные наши стационары отснять всю конечность с трех попыток!
        С уважением Шушания Батал.

        [ Ответить ]
        • Re: высокая тибиальная остеотомия
          Отправитель: Андрей Каминский 11 Ноябрь 2009, 17:13
          Можно длинную планку с дырками (от аппарата Илизарова) положить рядом с ногой, так, чтобы ее часть попала на 2 снимка. Потом совместить дырки на рентгенограммах, совпадет и длинник кости. Можно просто метки на столе сделать, снимать, совмещать, обрезать, клеить. Не очень большая сложность. Только больной не должен по столу скакать.
          Каминский А.В. Курган.

          [ Ответить ]
    • Re: высокая тибиальная остеотомия
      Отправитель: Рашид Муртузалиевич Тихилов 10 Ноябрь 2009, 13:45
      Уважаемый д-р Батал Шушания,
      К сожалению, не очень удачный пример. Если верить Р-граммам, имеет место быть дисплазия мыщелков бедренной кости с наклоном суставной линии. Это уже создает сложности получения хороших отдаленных результатов. Кроме того, по классике, необходима гиперкоррекция с созданием вальгуса 7-10 градусов для максимальной разгрузки медиального отдела КС. Если верить укладке, то линия сустава имеет четкий варусный наклон, поэтому результат операции м.б. кратковременным. В этих случаях показана двойная остеотомия бедра и тибии.
      С уважением, Р.Тихилов

      [ Ответить ]
    • Re: высокая тибиальная остеотомия
      Отправитель: Alexander Artemiev 10 Ноябрь 2009, 15:54
      Здравствуйте, дорогие коллеги.
      Позволю высказать своё мнение.
      Впечатление искажает неправильная укладка.
      Если сделать правильно, то видно, что бедренная кость в порядке, а цель остеотомии (низкой, кстати), не достигнута вовсе.
      Сохраняется варус. Для того, чтобы создать вальгусную гиперкоррекцию, не моделируя при этом откровенный Х голени, можно сделать медиализирующую остеотомию.
      Хотя это, видимо, создаст трудности для потенциально возможного эндопротезирования.
      Исчерпывающим образом правила укладки, оценки углов и выбора уровня и направления высоких остеотомий представлены у Dror Paley в Принципах коррекции дефрмаций.
      Очень интересная книжка.
      С уважением Александр Артемьев

      [ Ответить ]
      • Re: высокая тибиальная остеотомия
        Отправитель: Владимир Худобин 11 Ноябрь 2009, 01:55
        Ув.Александр.Как раз бедренная кость и не в порядке. Абсолютно прав проф.Р.М.Тихилов - "имеет место быть дисплазия мыщелков бедренной кости с наклоном суставной линии". Именно это определяет патомеханику процесса в суставе и пути её устранения. Тибиальная остеотомия - палеотив, ещё менее эффективна медиализация. Только двойная(или на двух уровнях) остеотомия исправит положение сустава и при данном (рентгенологическом) состоянии сустава, протез понадабиться глядишь лет через двадцать, а может вообще не понадобиться.
        С ув. Владимир Худрбин.

        [ Ответить ]
        • Re: высокая тибиальная остеотомия
          Отправитель: Alexander Artemiev 11 Ноябрь 2009, 17:14
          Здравствуйте, Владимир.
          Честно говоря, обсуждаемый случай не представляется чрезвычайно интересным. Рашида Муртазалиевича я и так уважаю.
          Но коль уж пошла такая дискуссия...
          Покажите, где Вы видите наклон суставной щели и в какую сторону?
          Расчертите углы, пожалуйста.
          С уважением Александр Артемьев

          [ Ответить ]
          • Re: высокая тибиальная остеотомия
            Отправитель: Maxim Agalakov 11 Ноябрь 2009, 21:01
            присоединяюсь, если бы были проблемы с бедром, скорее был бы вальгус, все проекционно.

            [ Ответить ]

     

    ( Ответить )

    Powered by Zope  Squishdot Powered MedLink
    Посетитель: 0234076
      "По форме правильно, а по существу - издевательство" В.И.Ленин
    ©2001-2019Orthoforum Coordinator.
    [ Главная | Отправить сообщение | Поиск | Админ ]